Maryland wings metal porcelain di Beloved Dental Care
Deskripsi
Detail Isi Paket
Yang termasuk dalam paket
- Maryland wings metal porcelain
Yang tidak termasuk dalam paket
- Biaya administrasi klinik
- Obat dan tindakan lain bila diperlukan
Informasi Penting
- Informasikan kondisi medis dan obat yang dikonsumsi kepada dokter
- Jika ada, selisih tagihan dapat dibayarkan langsung di klinik
Perawatan setelah tindakan
- Jika diperlukan, ikuti langkah perawatan yang direkomendasikan dokter
- Segera periksakan diri ke dokter jika muncul efek samping mengganggu
Apa yang perlu kamu ketahui?
- Cocok untuk semua usia yang sudah melakukan 1 cabut gigi dan memiliki gigi-gigi sebelahnya yang masih kuat sebagai pegangan
- Bisa dilakukan untuk semua gigi dalam rongga mulut, baik gigi depan maupun gigi belakang
- Pastikan bagian yang ingin dilakukan dental bridge sudah tidak ada sisa akar gigi dan (lebih baik) sudah melakukan rontgen panoramik
- Konsultasikan kepada dokter kapan waktu tunggu pembuatan bridge gigi di laboratorium selesai
- Bridge gigi memiliki daya tahan yang sangat tinggi selama pasien disiplin menjaga kesehatan serta kebersihan gigi dan mulut
- Informasikan riwayat medis kepada dokter gigi, termasuk konsumsi obat-obatan dan alergi tertentu
⠀Kontraindikasi bridge gigi
- Pasien dengan diabetes atau kondisi sistemik tertentu yang tidak terkendali
- Gigi tidak sehat dan tidak mampu menopang bridge gigi
- Kondisi mulut tidak sehat
- Pasien yang tidak mau berkomitmen untuk disiplin menjaga kesehatan gigi dan mulut
⠀Efek samping bridge gigi yang mungkin terjadi
- Rasa tidak nyaman atau nyeri pada gigi
- Infeksi
- Bridge gigi lepas
- Alergi
- Bengkak
Informasi Umum
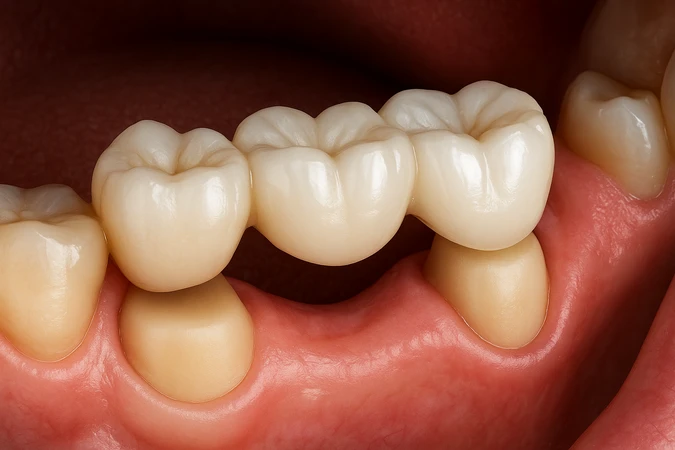
Dental bridge adalah salah satu perawatan yang digunakan untuk mengisi kekosongan pada gigi yang hilang dengan konsep 'jembatan'. Perawatan dengan metode ini menggunakan dua buah mahkota gigi (crown) yang dipasang pada kawat besi, lalu diletakkan pada dua gigi di sisi kanan-kiri kekosongan.
Perawatan ini menggunakan gigi-gigi sebelahnya sebagai pegangan antara gigi yang kosong. Ada banyak jenis bahan yang digunakan, yaitu emas, porcelain, zirconia, atau kombinasi.
Memasang bridge gigi bisa menjadi pilihan jika pasien kehilangan satu gigi permanen atau lebih. Pasalnya, jika gigi dibiarkan ompong, maka gigi di dekatnya bisa bergeser ke ruang kosong sehingga menyebabkan berbagai masalah, seperti:
- Gigitan gigi jadi tidak normal
- Kesulitan mengunyah
- Nyeri di rahang dan gigi karena tekanan yang berlebihan akibat tidak meratanya beban kunyah
- Kehilangan kepercayaan diri karena penampilan
⠀Fungsi bridge gigi
- Mempertahankan kondisi tulang gigi
- Melindungi gigi yang tersisa agar tidak bergeser dari posisi awal
- Mengembalikan fungsi pengunyahan dan estetika
⠀Bagaimana pemasangan bridge gigi dilakukan?
- Dokter gigi akan melakukan impresi pada mulut pasien. dengan bahan dan cetakan halus, lalu mengirimkan hasilnya ke laboratorium untuk menghasilkan mahkota gigi. Biasanya, masa tunggu ini memakan waktu 5-7 hari
- Selama masa tunggu, dokter akan memasang mahkota gigi sementara
- Dokter gigi akan memasang bridge 3 permanen atau 3 mahkota dengan melepas mahkota sementara dan memasukkan jembatan atau mahkota permanen sebagai gantinya
Persiapan sebelum pemasangan bridge gigi
- Konsultasi dengan dokter gigi untuk pemeriksaan dan menyusun rencana perawatan dengan bridge gigi
- Ikuti anjuran dokter terkait makanan dan minuman yang harus dihindari saat menunggu pemasangan bridge gigi permanen
- Jaga kebersihan gigi dan mulut
- Istirahat serta makan dan minum yang cukup sebelum pemasangan bridge gigi
Informasi Lokasi Beloved Dental Care
Beloved Dental Care - Tebet
- Jl. Prof. DR. Soepomo No.143, RT.13/RW.2, Tebet Bar., Kec. Tebet, Kota Jakarta Selatan, Daerah Khusus Ibukota Jakarta 12810
- Link Google Map: https://maps.app.goo.gl/acbtg89xfNNbcP2r9
- Jam praktek Senin - Sabtu: 10.00 - 17.00
Syarat dan Kebijakan Paket
- E-voucher booking klinik berlaku selama 60 hari setelah pembayaran terkonfirmasi
- Booking dan ubah jadwal dengan mudah via WhatsApp 24 jam sebelum waktu treatment selama jadwal dokter tersedia
- Untuk lebih lengkapnya, Anda dapat membaca syarat dan kebijakan di halaman ini
- Syarat dan ketentuan dapat berubah sewaktu-waktu tanpa pemberitahuan dan berlaku untuk pembelian setelah waktu perubahan
Harga paket sudah termasuk biaya administrasi, convenience fee, biaya pemeliharaan platform.